Skip Menu
Continue
  • 4601 Connecticut Ave NW
  • Suite 006
  • Washington, DC 20008
  • Call Us Today! (202) 683-7353
  • Home
  • About Us
    • Our Office
    • New Patients
    • Smile Gallery
    • Dental Videos
    • Testimonials
  • Meet Dr. Cofer
    • Antonia Cofer, DDS
  • Services
      • Botox®
      • Ceramic Crowns
      • CEREC® Crowns
      • Cosmetic Dentistry
      • Dental Bridges
      • Dental Cleanings
      • Dental Fillings
      • Dentures
      • Emergency Treatment
      • Extractions
      • Implant Dentistry
      • Invisalign®
      • Juvederm®
      • Night Guards
      • Oral Exams
      • Pediatric Dentistry
      • Periodontal Treatment
      • Root Canals
      • Teeth Whitening
      • Veneers
    • View All
  • Specials
  • Dental Health
  • Contact
    • Contact Us
    • Request Appointment

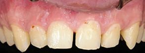
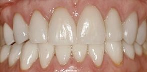
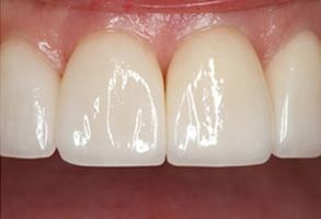
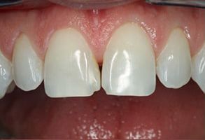
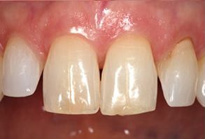
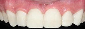
Smile Gallery

Additional Information

Our Location

4601 Connecticut Ave NW
Suite 006
Washington, DC 20008
(202) 683-7353

Follow Us

Quality Dental Center Inc